Fon: 0761/38844-0
Fax: 0761/38844-11
info@kieferorthopaedie-freiburg.de
facebook
google plus
Fon: 0761/38844-0
Fax: 0761/38844-11
Home
Praxis
Team
PRAXISPHILOSOPHIE
Digitale KFO
Kinder/Teens
ERWACHSENE
UNSICHTBARE SPANGEN
Erste Hilfe
Kontakt / Impressum
FÜR ZAHNÄRZTE
Home
Praxis
Team
PRAXISPHILOSOPHIE
Digitale KFO
Kinder/Teens
ERWACHSENE
UNSICHTBARE SPANGEN
Erste Hilfe
Kontakt / Impressum
FÜR ZAHNÄRZTE
Home
Fallbeispiele
Präprothetische Kieferorthopädie
Präprothetische Kieferorthopädie
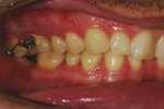
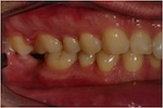
Einzelzahnbewegung
Intrusion 17, damit im Gegenkiefer eine Implantation möglich wird
vorher
nachher