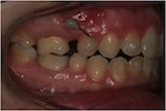
Miniimplantate

Miniimplantate

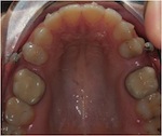
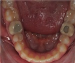
Zwischenbefund, Miniimplantate

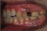
vorher

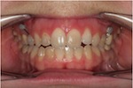
nachher

vorher

nachher