Invisalign

Frühbehandlung

Invisalign zum Lückenschluss

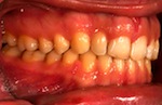
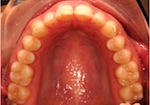
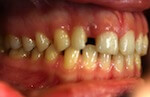
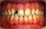
Patientin – 29 Jahre, Angle Kl. I, Invisalign für 9,5 Monate

Persistierender 52
(hier bereits entfernt)
12 war distal von 52 durchgebrochen

vorher

nachher

vorher

nachher

vorher

nachher

Frühbehandlung

Invisalign zum Lückenschluss

Patientin – 29 Jahre, Angle Kl. I, Invisalign für 9,5 Monate

Persistierender 52
(hier bereits entfernt)
12 war distal von 52 durchgebrochen

vorher

nachher

vorher

nachher

vorher

nachher