Fon: 0761/38844-0
Fax: 0761/38844-11
info@kieferorthopaedie-freiburg.de
facebook
google plus
Fon: 0761/38844-0
Fax: 0761/38844-11
Home
Praxis
Team
PRAXISPHILOSOPHIE
Digitale KFO
Kinder/Teens
ERWACHSENE
UNSICHTBARE SPANGEN
Erste Hilfe
Kontakt / Impressum
FÜR ZAHNÄRZTE
Home
Praxis
Team
PRAXISPHILOSOPHIE
Digitale KFO
Kinder/Teens
ERWACHSENE
UNSICHTBARE SPANGEN
Erste Hilfe
Kontakt / Impressum
FÜR ZAHNÄRZTE
Home
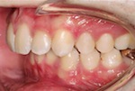
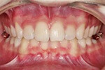
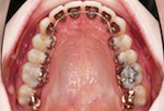
Fallbeispiele
Incognito
Incognito
Incognito
innenliegende Spange
vorher
nachher