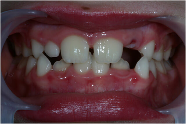
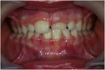
FRÜHBEHANDLUNG

Patient 8 Jahre alt, Platzmangel für die bleibenden Zähne und frontaler Kreuzbiss

vorher

nachher